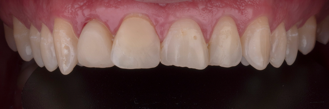
На первом посещении я знакомлюсь с пациентом, узнаю пожелания и предпочтения. Далее я собирает всю диагностическую информацию (фото, слепки, обследование ВНЧС,КТ), необходимую для планирования работы.
Обсуждение плана лечения
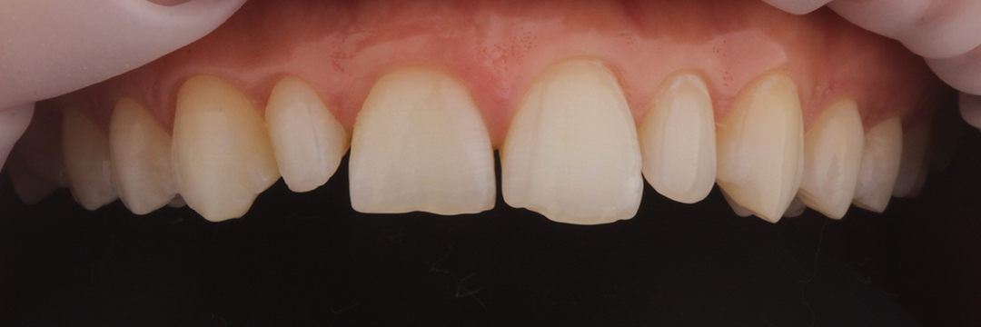
На второе посещение мы подготавливаем временные виниры которые можно примерить во рту (без обточки зубы). И обсуждаем стоимость и продолжительность лечения. Обычно мы подготавливаем 2-3 плана лечения на выбор.
Обработка зубов
На этой встрече врач подготавливает зубы под будущие виниры, снимает слепки. Пациент уходит из клиники с временными винирами, которые нужно носить около 2-х недель, не изменяя при этом привычного образа жизни (общение, питание).
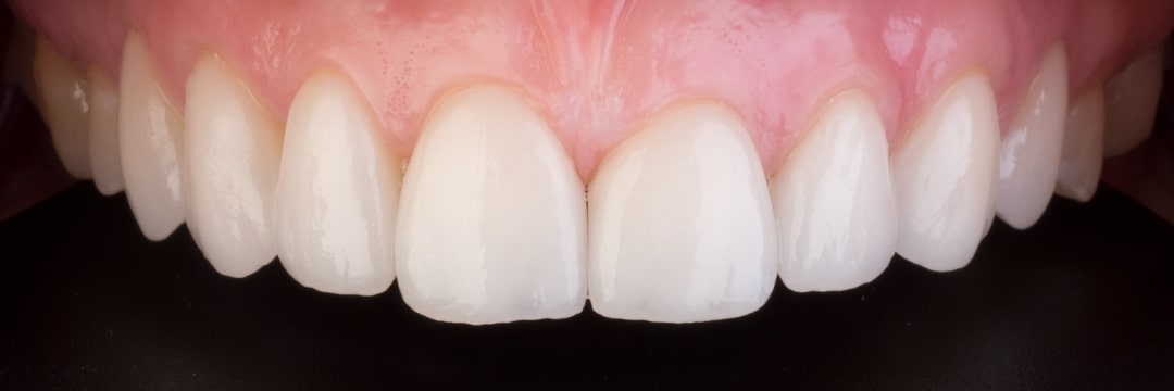
Примерка виниров
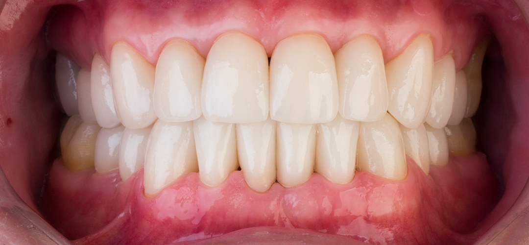
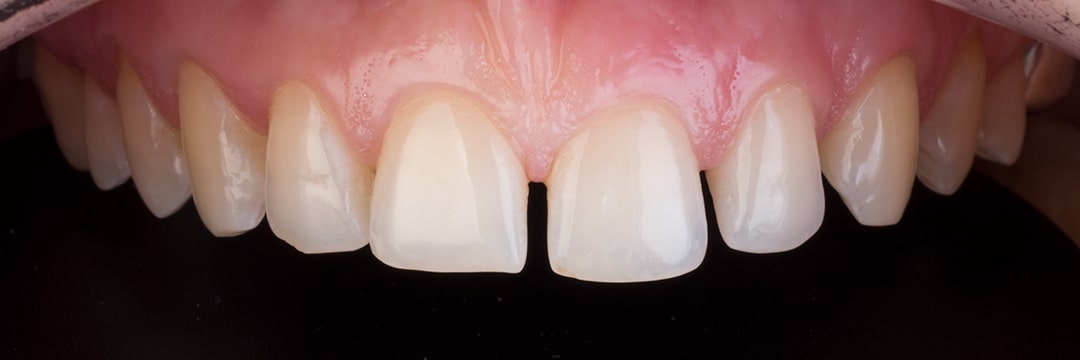
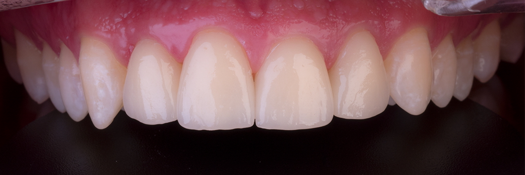
Готовые керамические виниры примеряются во рту и мы можем оценить их форму и цвет. На этом этапе при желании можно внести коррекцию. Примерок может быть несколько, это не влияет на стоимость работы.
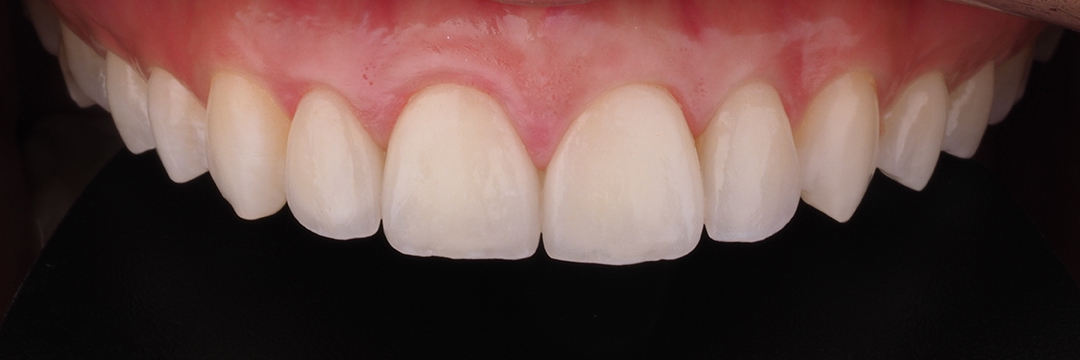
Фиксация
Вся технология и наша гарантия основывается на методе фиксации виниров, который строго соблюдается и обеспечивает надежное соединение винира с зубом, они как бы становятся одним целым
Посмотрите видео за 50 секунд и узнайте чем я занимаюсь
Семейное дело
Мой отец заложил основу нашей концепции лечения ещё 20 лет назад, но мы сами не стоим на месте и с каждым годом усовершенствуем наши лечебные протоколы.
ЕвгенийАликин
МаркАликин
Лицензии и сертификаты
Ответы на вопросы
ЗА отбеливание
экономия времени (занимает 1 час)
стоит от 15000
зубы остаются неизменными (форма и толщина)
Минусы отбеливания:
осветление на несколько тонов
краткосрочность эффекта: хватает на 6-12 месяцев
необходимость регулярно повторять для поддержания светлого цвета зубов
для поддержания эффекта требуется отказ от красящей пищи и напитков
возможная чувствительность зубов во время процедуры и после
ЗА виниры:
возможность сделать зубы самого светлого цвета
неизменный со временем цвет
нет ограничений в диете
возможность с помощью виниров исправить неправильную форму и положение зубов
безболезненность
возможность увидеть результат еще до начала работы
Минусы виниров:
стоимость одного винира от 25000
занимает 1-1,5 месяца (4-5 встречи со стоматологом-ортопедом)
требуют предварительной подготовки зубов
необратимость
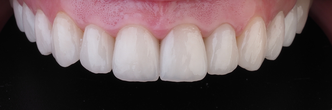
Виниры - это керамические накладки на зубы. Крепятся они к зубам с внешней стороны. Поэтому актуально их использовать только на зубах, которые видны при широкой улыбке. А это 10-12 верхних зубов( 4 резца, 2 клыка, 2 премоляра и иногда даже первые моляры) и аналогично 10-12 нижних зубов.
Виниры перекрывают режущий край и, как правило, немного заходят на внутреннюю поверхность зуба. Однако благодаря высокой точности прилегания винира к тканям зуба, стык этот не ощутим.
Толщина винира составляет всего 0,3-0,6 мм ( это тоньше контактной линзы). Какой будет толщина виниров в Вашем конкретном случае, определяет врач исходя из положения зубов, на которые планируется установить виниры.
Изготавливают виниры в лаборатории. Техник моделирует каждый винир, придавая ему форму и размер, подходящие под Ваши внешние данные. Поверхность виниров моделируется максимально схожей с естественной поверхностью зубов, имеющей свои неровности(мамелоны).
Цвет виниров возможно сделать любого оттенка. При необходимости техник вручную специальными красками может создать на винирах градиент цвета.
Вообще не обрабатываются: в случае, когда зубы, на которые планируется поставить виниры, сильно наклонены внутрь. Накладывая сверху на них виниры, мы получаем необходимый объем и визуально выводим их вперед.
Обрабатываются на минимальную толщину, то есть, на толщину самого винира (примерно 0,3 мм) , когда зубы имеют нормальный наклон, то есть не наклонены вперед и не завалены внутрь.
Значительно обрабатываются, когда свои зубы сильно наклонены вперед или имеют выраженные наклоны/повороты. В таком случае рекомендовано сначала придать зубам правильное положение с помощью элайнеров или брекетов, а затем покрыть их винирами.
На какую толщину будет необходимо обработать зубы под виниры в Вашем случае, сможет ответить только врач.
Благодаря местной анестезии, которая делается перед обработкой, болезненные ощущения исключены.
Как это происходит:
место укола обрабатывается специальным обезболивающим гелем с анестетиком
делается вкол в нескольких местах и вводится анестетик ( в основном, это препараты на основе артикаина)
через пару минут - за это время наступает обезболивание, пациент перестает чувствовать боль, сохраняются лишь тактильные прикосновения
начинается обработка
Следовательно, самым болезненным и неприятным при обработке зубов под виниры можно считать укол для введения обезболивающего препарата
Вам подойдут виниры, если у Вас:
темный/желтый цвет одного или нескольких зубов в зоне улыбки
неправильная форма зубов/укороченная длина/сколотый край
незначительный наклон/разворот одного или нескольких зубов
скученность зубов
щели между зубами(тремы и диастемы)
Вам не подойдут виниры, если у Вас:
неправильный прикус (неправильное смыкание зубов, выраженный наклон/поворот одного или нескольких зубов)
бруксизм(непроизвольное сжатие зубов в ночное время)
Полную информацию о том, подойдут ли Вам виниры, может дать только врач после обследования.
Винир-это керамическая накладка на зуб толщиной 0,3-0,6 мм. Даже несмотря на такую небольшую толщину, просто "приклеить" их на зубы без предварительной подготовки нельзя, так зубы получатся очень объемными. Поэтому перед установкой виниров свои зубы обрабатываются, то есть с них снимают твердые ткани ровно на толщину виниров.
Люминир-это тоже керамическая накладка, но по сравнению с винирами имеют меньшую толщину и могут фиксироваться к зубам без их предварительной обработки. Само понятие "люминир" пришло к нам из США и обозначает разновидность запатентованной керамики, созданной в штате Калифорния. Выходит, что настоящий люминир можно сделать только в США. В России люминирами называют ультратонкие виниры, аналоги калифорнийских.
Какой толщины требуется установить виниры(люминиры) в Вашем случае, будет решать врач.
С помощью виниров и брекетов можно исправить:
скученность зубов (когда зубы находят друг на друга)
повороты зубов/наклоны
щели между зубами(тремы и диастемы).
Что выбрать?
ЗА виниры:
быстрый результат(1-1,5месяца)
долгосрочный результат
долгосрочный результат
не требуют особого ухода
требуют меньших финансовых вложений
ПРОТИВ виниров:
свои зубы при неправильном положении существенно обрабатываются
необратимость
ЗА брекеты:
сохраняем свои зубы "нетронутыми"
коррекция/формирования физиологичного прикуса
ПРОТИВ брекетов:
продолжительное лечение( от 1,5 года)
риск рецидива(со временем без ношения ртейнера/каппы зубы могут вернуться в прежнее положение)
стабильный результат только при ношении ртейнера
требуют больших финансовых вложений
дискомфорт от самих брекетов, затрудненный уход
Надо понимать,что в ситуациях, когда выраженное неправильное положение исправляется не брекетами, а винирами, свои зубы сильно обрабатываются. Поэтому в таких случаях, предпочтительнее провести сначала лечение с помощью брекетов или элайнеров (альтернатива брекетам), а лишь потом на зубы установить виниры. Только при таком лечении свои ткани зуба удастся максимально сохранить.
На первый взгляд, выглядят и те, и другие одинаково. Но есть принципиальные отличия:
ЗА композитные виниры:
Быстрый результат (за 1-2 посещения)
Недорогие (стоимость единицы - от 5000)
ПРОТИВ композитных виниров:
Недолговечны (срок службы - до 5 лет)
Выглядят неестественно
Сделаны из композита (пломба) темнеет и скалывается со временем.
Требуют полностью замены через несколько лет
Темнеют от чая, кофе, сигарет
ЗА керамические виниры:
Стабильный результат (цвет не темнеет от напитков, сигарет, продуктов)
Сделаны из керамики - выглядят естественно, как свои зубы)
Срок службы - более 15 лет
Экономия времени и денег (не требуют замены через пять лет)
ПРОТИВ керамических виниров:
Выше цена (стоимость единицы - от 25000)
Если у вас остались какие-либо вопросы
Оставьте заявку и получите бесплатную консультацию
Наши контакты
г. Москва,
Троицкая ул. 8 «Сухаревская» «Цветной бульвар»
Настоящим подтверждаю, что я ознакомлен и согласен с условиями Политики в отношении обработки персональных данных.
Настоящим я даю разрешение Сайту в целях информирования о товарах и услугах, заключения и исполнения договора купли-продажи обрабатывать - собирать, записывать, систематизировать, накапливать, хранить, уточнять (обновлять, изменять), извлекать, использовать, передавать (в том числе поручать обработку другим лицам), обезличивать, блокировать, удалять, уничтожать - мои персональные данные: фамилию, имя, пол, дату рождения, номера домашнего и мобильного телефонов, адрес электронной почты, а также данные об интересах на основании анализа моих поисковых запросов и посещений Интернет-сайтов.
Также я разрешаю в целях информирования о товарах, работах, услугах направлять на указанный мною адрес электронной почты и/или на номер мобильного телефона рекламу и информацию о товарах, работах, услугах и его партнеров.
Спасибо за вашу заявку
Мы свяжемся с вами в ближайшее время
пока вы можете подписаться на наш Telegram-канал, чтобы получить подарок в подарок бесплатную чистку 🎁